
肺癌稳居癌症第一的位置,是名副其实的癌老大,对于有肺癌高危因素的人尤其要注意,当出现下列症状时,要怀疑是否身患肺癌,并及时到医院检查。 1.久治不...
肺癌稳居癌症第一的位置,是名副其实的癌老大,对于有肺癌高危因素的人尤其要注意,当出现下列症状时,要怀疑是否身患肺癌,并及时到医院检查。

1.久治不愈的咳嗽 咳嗽是肺癌比较常见的症状,大约有60%的肺癌病人发现时伴有咳嗽症状,特别是中央型肺癌的病人。所以50岁以上的人,当出现久治不愈的刺激性干咳时需要注意,尤其是有长期抽烟史的人。

2.颈部出现无痛性淋巴结肿大 肺癌可以通过淋巴结转移,部分病人首发症状是发现颈部淋巴结肿大,无痛性,且逐渐缓慢增大。出现颈部淋巴结转移的恶性肿瘤比较多,其他还有胃癌、食管癌、鼻咽癌、恶性淋巴瘤等等,所以如果有无痛性颈部浅表淋巴结肿大,最好取活检,明确病理及免疫组化帮助诊断。

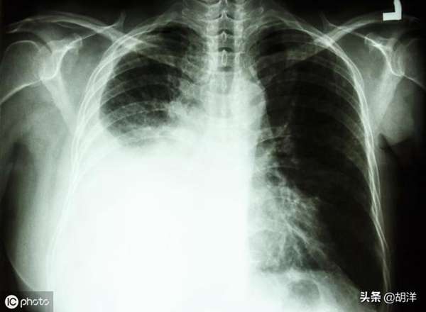
3.不明原因痰中带血 痰中带血一般中央型肺癌多见,肿瘤局部浸润毛细血管时会出现少量多次的痰中带血,久治不愈,所以年纪偏大的人出现不明原因痰中带血时要及时做胸部CT。痰中带血也可见于肺结核和支气管扩张,但一般出血量更大。

4.不明原因单侧胸腔积液 如果出现单侧胸腔积液,患者会表现为胸闷、气喘,这时候要考虑到肺癌可能,肺腺癌容易出现胸膜转移引起胸水的产生。结核性胸膜炎也会出现单侧胸腔积液,但一般年轻人多见。

5.渐进性声音嘶哑 如果出现声音嘶哑,且逐渐加重,而耳鼻喉科检查未见明显异常,或者出现单侧声带麻痹,要及时做胸部增强CT,排除肺癌纵膈淋巴结转移引起的喉返神经受压。喉返神经就是支配声带运动和发声的。

6.原因不明的持续性胸痛 胸痛的原因比较多见,一般急性胸痛会考虑心梗、肺栓塞、主动脉夹层等严重疾病,但如果胸痛时间较长,逐渐加重,且没有外伤史,这时候要怀疑肺癌可能,当肺部肿瘤侵犯胸膜会引起持续性的胸痛。

7.反复出现单侧同一部位肺炎 如果肺部反复出现肺部感染,且在单侧同一部位,要警惕肺癌可能,因为肿瘤的存在会引起局部阻塞性炎症,而炎症在胸部CT上可能会掩盖肿块的存在。所以,这时候要先积极抗炎治疗,如果效果不明显,可以行肺穿刺活检。

一般来说,肺癌早期病人绝大多数没有任何症状,一旦出现上述症状,可能已经是中晚期了,那么预后就不尽如人意。所以,肺癌高危人群,早期肺癌筛查非常重要,早诊断,早治疗,有很大的治愈机会。